Det anbefales at man får undersøkt tenner og munnhule hos tannlege eller tannpleier regelmessig. Hvor ofte varierer fra person til person, men for de fleste vil en gang i året være nok.
Klinisk undersøkelse

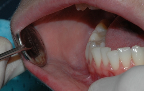
Ved en undersøkelse vil tannlegen foreta en grundig kontroll av tenner og tannkjøtt. Tungen, munnhulens slimhinner, samt kjeveledd og tyggemuskler undersøkes også. Slik vil man kunne kartlegge hvilket behandlingsbehov pasienten har, og basert på dette lage en behandlingsplan. En klinisk undersøkelse er likevel ikke nok til å avdekke alle typer sykdom i munnhulen.
Røntgenbilder

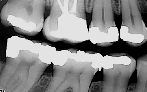
Tannlegen må også vurdere behovet for å ta røntgenbilder i forbindelse med undersøkelsen. Røntgenbilder brukes for å diagnostisere sykdommer i de deler av tennene som ikke er synlige i munnen. I tillegg kan de avdekke patologi i kjevene. Eksempler på slike sykdommer kan være hull under gamle fyllinger eller kjevecyster. I tillegg kan tannlegen sammenligne røntgenbilder tatt over flere år. Slik kan tannlegen vurdere hvorvidt en tilstand (for eksempel et begynnende hull) har utviklet seg eller ikke.
Det finnes ulike former for røntgenbilder. Ved en regelmessig undersøkelse er det vanligvis bitewings som benyttes. Bitewings gir tannlegen informasjon om blant annet hull i tennene, begynnende hull og kvaliteten til gamle fyllinger. De kan også si noe om tennenes feste og avdekke tegn til periodontitt (tannløsningssykdom). Ved behov kan bitewing-bildene suppleres med andre småbilder (for eksempel rotbilder) av avgrensede områder.
Panoramarøntgen (OPG) er en type oversiktsbilde som kan benyttes der behandlingsbehovet er særlig stort. Det kan også være en fordel med OPG ved planlegging av implantatbehandling eller dersom visdomstenner skal opereres ut. Panoramabilder er som regel ikke like detaljerte som de vanlige røntgenbildene. Det kan derfor i enkelte tilfeller være nødvendig å supplere med slike.
Stråling ved røntgenbilder av tenner
Stråledosen man blir utsatt for ved røntgenopptak, er med dagens teknologi svært liten. Dette gjelder både for vanlige røntgenbilder og panoramarøntgen. Det anses derfor ikke som noen helserisiko å ta røntgenbilder, heller ikke for barn eller gravide. Man må likevel huske på at det er frivillig å ta røntgenbilder. Om man velger å la være, kan imidlertid resultatet bli at tannlegen ikke kan foreta en god nok undersøkelse av tennene.
Tannstensfjerning, puss og poléring

Etter undersøkelsen er det vanlig at tannlegen eller tannpleieren fjerner tannstein og misfarging fra tennene. Tannstein består for det meste av kalkstoffer fra spyttet som avleires og legger seg på tannflaten som et hardt belegg. Det sitter så godt fast at det er nærmest umulig å fjerne på egen hånd med tannbørsten.
Mye av det vi inntar i det daglige kan misfarge tennene. Dette gjelder for eksempel kaffe, te, røyk, snus og rødvin. Slike misfarginger legger seg som et mørkt belegg på tennenes overflate og kan også være vanskelige å fjerne selv.

Tannlegen eller tannpleieren kan fjerne både tannstein og overfladiske misfarginger ved å rense, pusse og polere tennene. Tannsteinen fjernes enten med maskin eller ved å skrape den bort med håndinstrumenter. Misfarginger kan poleres bort med en spesiell pussepasta som inneholder ekstra slipemiddel. Alternativt går det an å benytte saltblåsing for å fjerne misfargingene.